Dentiste DINARD 35800 Dentistes à DINARD : Drs Yvick MARÇAIS & Priscilla LEGENDRE
1 Avenue Edouard VII, 35800 DINARD
+33 2 99 16 00 16
Dentiste DINARD 35800 Dentistes à DINARD : Drs Yvick MARÇAIS & Priscilla LEGENDRE
Implantologie - Esthétique Dentaire - Thérapie Laser - Traitement CFAO en une séance - Radiographie Cone-beam 3D - Aligneurs Orthodontiques - Omnipratique

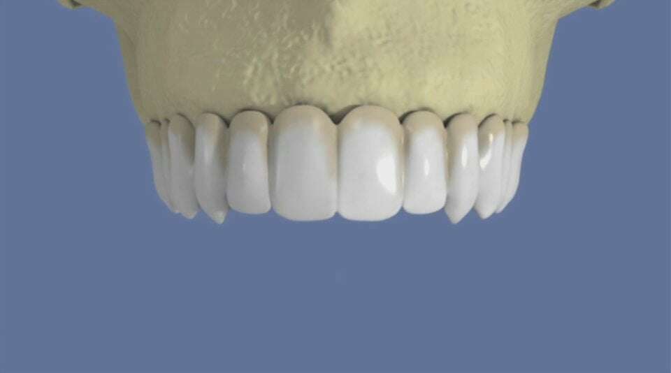
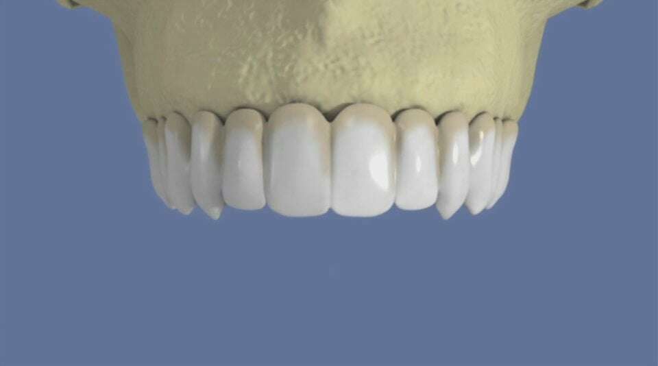
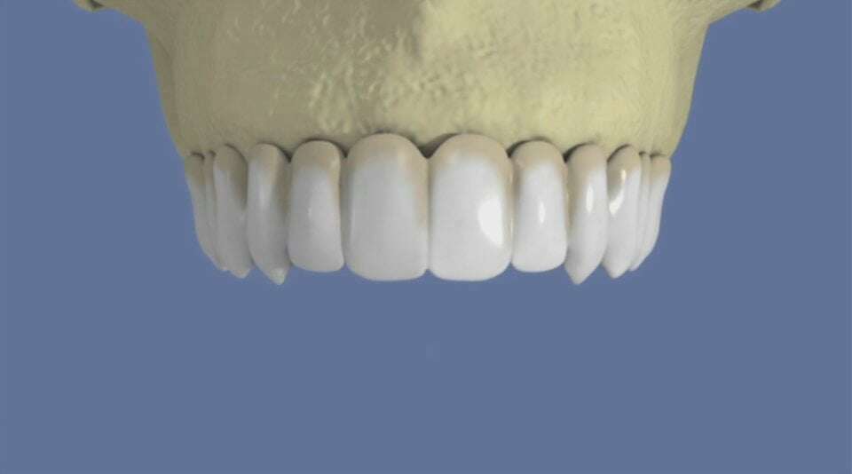
Maxillaire : bridge vissé sans fausse gencive


video-play-icon

Articles similaires

Création par Webdentiste

Connexion