Dentiste DINARD 35800 Dentistes à DINARD : Drs Yvick MARÇAIS & Priscilla LEGENDRE
ACCUEIL
NOTRE CABINET
PLAN
URGENCES
PRÉVENTION
VIDÉOS
CONTACTEZ NOUS
1 Avenue Edouard VII, 35800 DINARD
+33 2 99 16 00 16
Dentiste DINARD 35800 Dentistes à DINARD : Drs Yvick MARÇAIS & Priscilla LEGENDRE
Implantologie - Esthétique Dentaire - Thérapie Laser - Traitement CFAO en une séance - Radiographie Cone-beam 3D - Aligneurs Orthodontiques - Omnipratique
ACCUEIL
NOTRE CABINET
PLAN
URGENCES
PRÉVENTION
VIDÉOS
CONTACTEZ NOUS
Vidéos 3D - Page 6
Comblement de sinus par abord latéral sans pose d’implant
EN SAVOIR PLUS
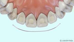
Fil de contention
EN SAVOIR PLUS
Conséquence de la perte des dents postérieures
EN SAVOIR PLUS
Protocole de dévitalisation d'une dent ou traitement endodontique
EN SAVOIR PLUS
Parodontite et formation de la poche parodontale
EN SAVOIR PLUS
Le surfaçage
EN SAVOIR PLUS
Affichage des articles 61-66 sur 66
‹
1
2
3
4
5
6
›
Rechercher dans le blog Blog
Catégories
À la une
(3)
Informations pratiques
(8)
L'équipement du cabinet dentaire
(5)
L'orthodontie
(19)
Les choix esthétiques
(9)
Les dents chez l'adulte
(6)
Les dents de l’enfance à l’adolescence
(14)
Les dents et la santé
(22)
Les gencives
(23)
Les implants
(23)
Les pathologies bucco-dentaires
(29)
Les prothèses
(30)
Omnipratique
(182)
Prendre soin des dents
(19)
DENTISTE DINARD 35800 DENTTISTES À DINARD : DRS YVICK MARÇAIS & PRISCILLIA LEGENDRE
Politique de confidentialité et charte cookie
Mentions légales
Conditions Générales Utilisation
Charte déontologique
Ordre national
Annuaires chirurgiens dentistes
Rechercher dans le blog Blog
Création par
Connexion
Vidéo en cours de lecture